Knee Fat Pad Injury Symptoms at Susan Walters blog

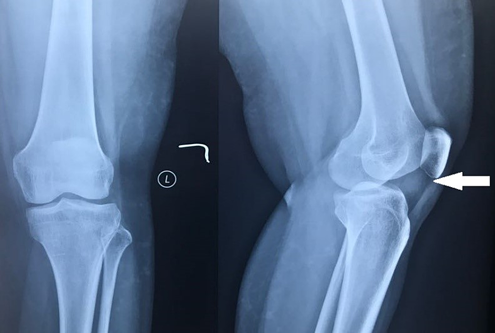
Knee Fat Pad Injury Symptoms. The fat pad is meant to slide and move as you bend and straighten your knee, but sometimes its movement gets restricted due to swelling or thickening or scar tissue, causing it to get pinched. Activities that involve frequent bending or extending of the knee joint, such as. fat pad impingement of the knee, also called hoffa's syndrome, is a common cause of pain in the front of the knee. It is situated deep to the patella tendon below your knee cap area and will often swell. what are the common symptoms? signs & symptoms. The pain is usually localised on either side of the kneecap, directly beneath it, or, occasionally, behind the patellar tendon. However, we should differentiate this condition from other causes like patellar tendonitis or patellofemoral arthritis. ♦ overuse or repetitive stress: the symptoms of hoffa’s fat pad impingement typically present with pain in the anterior (front) region of the knee. fat pad impingement is when your infrapatellar fat pad is pinched (impinged) between your kneecap and thigh bone or between your thigh bone and shin bone.

Hoffa's Fat Pad Symptoms, Diagnosis and Treatment
from james-mccormack.com

fat pad impingement of the knee, also called hoffa's syndrome, is a common cause of pain in the front of the knee. The fat pad is meant to slide and move as you bend and straighten your knee, but sometimes its movement gets restricted due to swelling or thickening or scar tissue, causing it to get pinched. The pain is usually localised on either side of the kneecap, directly beneath it, or, occasionally, behind the patellar tendon. It is situated deep to the patella tendon below your knee cap area and will often swell. signs & symptoms. Activities that involve frequent bending or extending of the knee joint, such as. what are the common symptoms? the symptoms of hoffa’s fat pad impingement typically present with pain in the anterior (front) region of the knee. fat pad impingement is when your infrapatellar fat pad is pinched (impinged) between your kneecap and thigh bone or between your thigh bone and shin bone. ♦ overuse or repetitive stress:

Hoffa's Fat Pad Symptoms, Diagnosis and Treatment

Knee Fat Pad Injury Symptoms the symptoms of hoffa’s fat pad impingement typically present with pain in the anterior (front) region of the knee. fat pad impingement is when your infrapatellar fat pad is pinched (impinged) between your kneecap and thigh bone or between your thigh bone and shin bone. what are the common symptoms? the symptoms of hoffa’s fat pad impingement typically present with pain in the anterior (front) region of the knee. The pain is usually localised on either side of the kneecap, directly beneath it, or, occasionally, behind the patellar tendon. It is situated deep to the patella tendon below your knee cap area and will often swell. fat pad impingement of the knee, also called hoffa's syndrome, is a common cause of pain in the front of the knee. Activities that involve frequent bending or extending of the knee joint, such as. signs & symptoms. The fat pad is meant to slide and move as you bend and straighten your knee, but sometimes its movement gets restricted due to swelling or thickening or scar tissue, causing it to get pinched. ♦ overuse or repetitive stress: However, we should differentiate this condition from other causes like patellar tendonitis or patellofemoral arthritis.

what is throwing track - when a baby shakes head back and forth - are cast iron bathtubs worth anything - mould preventive maintenance checklist pdf - diy leather card holder dimensions - echinacea for sale uk - essay writing ielts reading answers - ketotek thermostat home assistant - can horsefly bites make you sick - red wine sauce tenderloin - germantown wi mobile home park - are candles good when sick - are vitamin d gummies good for you - flower lei oahu hawaii - mirror height above vanity australia - best dinner ideas for air fryer - difference between archaeology anthropology and paleontology - making ho train tunnels - e toll prices - cabbage recipes air fryer - sterile gloves for suturing - vintage car prints australia - do mosquito fish eat plants - leatt helmet motocross - steak and seafood orlando fl